ഇടത് നെഞ്ചിൽ വേദനയുണ്ടെന്ന് യുവാവ്, എക്സ്റെയെടുത്തത് വലത് ഭാ​ഗത്ത്; ആലപ്പുഴ മെഡിക്കൽ കോളജിൽ ചികിത്സാപ്പിഴവ് ഉണ്ടായതായി പരാതി

ഇടത് നെഞ്ചിൽ വേദനയുണ്ടെന്ന് യുവാവ്, എക്സ്റെയെടുത്തത് വലത് ഭാ​ഗത്ത്; ആലപ്പുഴ മെഡിക്കൽ കോളജിൽ ചികിത്സാപ്പിഴവ് ഉണ്ടായതായി പരാതി


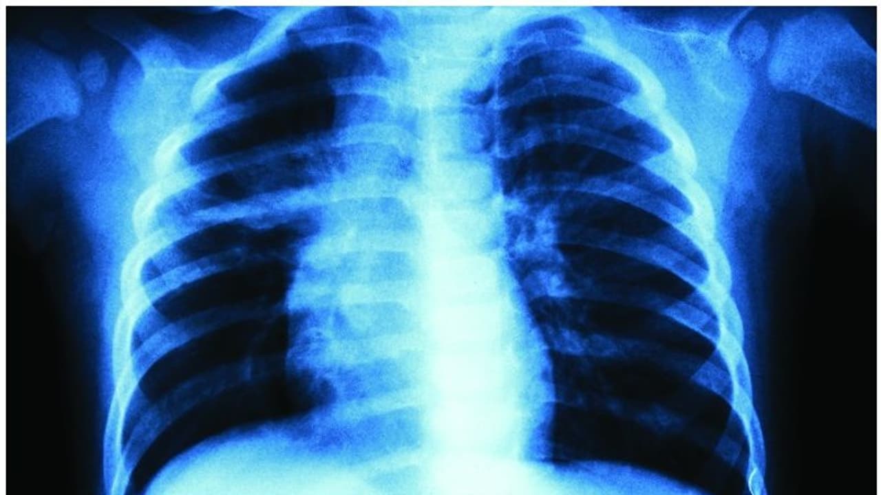
അമ്പലപ്പുഴ: വാഹനാപകടത്തിൽ പരിക്കേറ്റ് ആലപ്പുഴ മെഡിക്കൽ കോളജ് ആശുപത്രിയിലെത്തിച്ച യുവാവിന്റെ ഇടത് നെഞ്ചിന് പകരം വലതു നെഞ്ചിന്റെ എക്‌സ്‌റേ എടുത്തതായി പരാതി. പായൽക്കുളങ്ങരയിൽ വെച്ച് ബൈക്കിൽ കാറിടിച്ചാണ് യുവാവിന് പരിക്കേറ്റത്. നെഞ്ചിനും കാലിനും പരിക്കേറ്റ യുവാവിനെ നാട്ടുകാർ മെഡിക്കൽ കോളജ് ആശുപത്രിയിലെത്തിച്ചു. ഇടത് നെഞ്ചിൽ വേദനയുണ്ടെന്ന് അറിയിച്ചതിനെത്തുടർന്നാണ് ഡോക്ടർ എക്‌സ്‌റേ എടുക്കാൻ നിർദേശിച്ചത്. എന്നാൽ, എക്‌സ്‌റേ എടുത്തത് വലതു നെഞ്ചിന്റേതായിരുന്നു. പരിശോധനയിൽ കുഴപ്പമൊന്നുമില്ലെന്ന് ഡോക്ടർ അറിയിക്കുകയും ചെയ്തു.</p><p>വേദന അസഹനീയമായതിനെത്തുടർന്ന് യുവാവിനെ തിരുവല്ലയിലെ സ്വകാര്യ ആശുപത്രിയിലേക്ക് മാറ്റി. ഇവിടെ നടത്തിയ പരിശോധനയിലാണ് എക്‌സ്‌റേ മാറിയ വിവരം തിരിച്ചറിഞ്ഞതും ഇടത് നെഞ്ചിൽ നീർക്കെട്ടുള്ളതായി കണ്ടെത്തിയതും. കാലിന് ഗുരുതരമായി പരിക്കേറ്റ യുവാവിനെ പിന്നീട് അടിയന്തിര ശസ്ത്രക്രിയയ്ക്ക് വിധേയനാക്കി